7

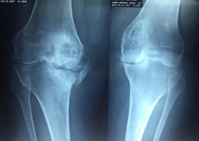
صوره لتاكل شديد جدا بالركبة مع وجود نقص شديد بالجزء الداخلي لأعلى عظمة الساق.

تم تركيب مفصل ذو مواصفات خاصه لتعويض عجز العظام بالركبة.